Crafting Confident Smiles with Expertise, Empathy, and Innovation.

Opening Time

  • Morning: 10:00 AM - 02:00 PM
  • Evening: 06:00 PM - 10:00 PM

Phone Number

  • +91 98926 41872
  • +91 98338 93587
5+ YEARS OF
EXPERIENCE
About Doctor

Dr. Hitesh Patil

BDS,MDS(MUHS)

ENDODONTIST

Dr. Hitesh Patil is a skilled Endodontist with over 5+ years of experience in advanced root canal treatments and restorative dentistry. He is committed to providing painless, precise, and patient-focused care.

Graduating with an MDS from MUHS, Dr. Patil combines the latest technology with compassionate treatment to help patients maintain healthy, beautiful smiles.

Book an Appointment+91 98926 41872
About Doctor

Dr. Daavetri Patil

BDS

IMPLANTOLOGIST

Dr. Daavetri Patil is an experienced Implantologist with 5+ years of expertise in dental implants and prosthetic rehabilitation. She is dedicated to restoring smiles with precision and care.

Known for her patient-friendly approach, Dr. Daavetri uses advanced techniques to provide comfortable and lasting dental implant solutions.

Book an Appointment+91 98926 41872
5+ YEARS OF
EXPERIENCE
0 +

Years Of Experience

0

Google Reviews

0 +

Happy Patients

0 +

Total Services

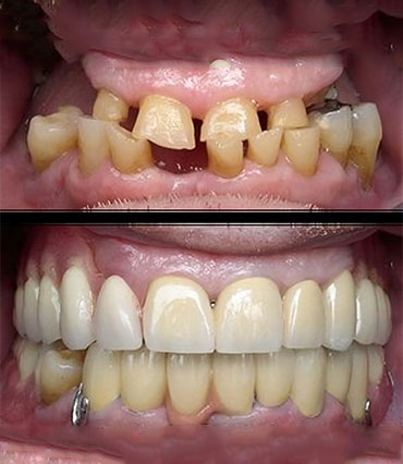
Treatments

Our Services

Root Canal Treatment (RCT)

Root Canal Treatment (RCT)

Expert care to relieve pain and save natural teeth through precise endodontic therapy.

Dental Implants

Dental Implants

Permanent, natural-looking tooth replacement solutions for missing teeth.

Dental Veneers

Dental Veneers

Aesthetic correction using custom-made shells for discolored, chipped, or misaligned teeth.

Pediatric Dentistry

Pediatric Dentistry

Preventive and curative dental care tailored for children, ensuring early oral health.

Geriatric Dentistry

Geriatric Dentistry

Specialized dental solutions for elderly patients, addressing age-related oral health issues.

Full Mouth Rehabilitation

Full Mouth Rehabilitation

Comprehensive treatment plans to restore function, aesthetics, and oral health.
Welcome Our Clinic

Dr. Patil's
Smile Care & Advanced Root Canal Center

Founded in 2020 by Dr. Hitesh Patil and Dr. Daavetri, our clinic is committed to delivering advanced dental care with a focus on patient comfort and the latest technology.
Together, Dr. Patil and Dr. Daavetri bring years of expertise in endodontics and implantology, creating a trusted center for comprehensive dental health and beautiful smiles.
Testimonial

What Patients Says
About Us

Ready for a Healthier, More Confident Smile?

Book Your Appointment with Dr. Patil's Clinic Today

At Dr. Patil's Clinic, your smile is in expert hands. Led by Dr. Hitesh Patil and Dr. Daavetri—seasoned dental professionals with over 8 years of clinical experience—we provide personalized care in a calm, state-of-the-art environment.
From single-sitting root canals to smile makeovers and custom dentures, Dr. Patil and Dr. Daavetri ensure that every treatment combines precision, aesthetics, and comfort to deliver exceptional results.
Book an Appointment!
Get Quote

Book an Appointment